循環器治療

循環器内科で行う治療は、カテーテルを用いた血管内治療、外科手術や適切な薬剤調整、心臓リハビリテーションなどがあります。
不整脈は、カテーテルアブレーションができる体制を整え、徐脈性不整脈はペースメーカー留置に対応しています。
難治性高血圧についても、近い将来、カテーテルを用いた先進的な治療が承認される予定です。
どの病期の治療においても、ご自宅に元気に戻って生活することを目標にしています。

末梢血管疾患の中で、特に下肢閉塞性動脈硬化症は進行した動脈硬化疾患で、高齢、高血圧、コレステロール、糖尿病、喫煙などの生活習慣病が原因です。年々患者数は増え続けており、最終的に下肢切断となったり、場合によっては亡くなることもあります。
しかし近年では、血管内の治療技術が進歩し、高い成功率と一度治療したところが再度狭くならない「高い開存率」を得られるようになりました。そして私は、治験や国内外の医師との仕事の経験を活かして、当院でもこの治療ができる環境を作り上げました。看護師、臨床工学技士、放射線技師、フットケアチームと共に、包括的な治療を行ってまいります。また、これまで薬剤治療のみに限定された深部静脈血栓症※に対する先進的なカテーテル治療ができるようになりました。
当院では、現在国内で15〜20施設のみに限定されたこの治療が受けられます。

急性心筋梗塞

急性心筋梗塞に対して、緊急で血管治療を行いました。

静脈の血栓

腸骨静脈に血栓閉塞が起きて、左下腿のむくみ、うっ滞がでた患者様。治療後、速やかに改善しました。

02急性下肢閉塞_before

別疾患で入院中だった患者様が急性下肢閉塞を起こしましたが、 速やかな治療で改善し、2 日後に退院しました。

02急性下肢閉塞_after
03

腹部大動脈から両下肢腸骨動脈の血管内を治療しました。治療翌日に自ら歩いて帰られました。

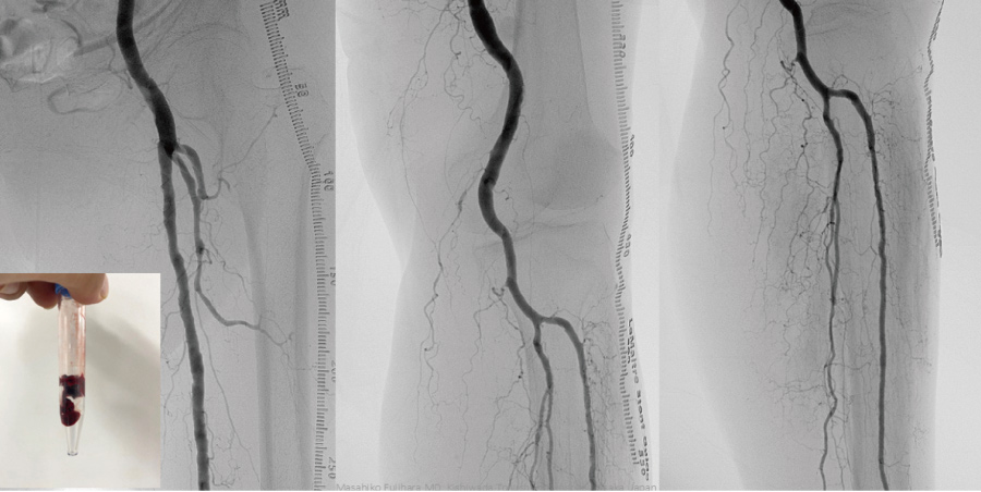
大腿動脈の血栓閉塞

ふとももの大腿動脈の血管閉塞に対して血管内を治療しました。お孫さんにおいていかれず歩けるようになったと喜ばれました。

足の腫瘍

足の指先に潰瘍がある患者様に対して、膝下の動脈の血管内を治療しました。

透析患者様にとって、シャントは生命線です。シャントは週3回、数時間使用しますが、バルーン拡張のみでは再び狭くなることも多く、3か月ごとなど定期的な治療が必要になる患者様もいます。私たちは、狭くなりにくい薬剤塗布型バルーンや人工血管を用いて、長い開存性を目標とした治療を行っています。この薬剤塗布型バルーンにおいては、国内で治験が行われた際、私も治験の責任者として参加しましたが、通常のバルーンと比べて長期間の効果を維持することが証明されています。

通常のバルーン
薬剤バルーン
PAGE TOP